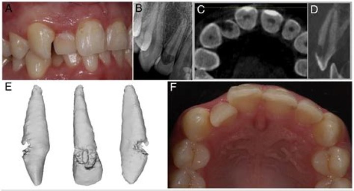
Cervical external resorption also called as invasive cervical resorption is a clinical term used to describe a relatively uncommon, insidious and often aggressive form of external tooth resorption, which may occur in any tooth of permanent dentition.

Similarly one may ask, what causes external resorption of a tooth?

External resorption It is commonly caused by damage to the periodontal ligament (PDL), drying of root surface following avulsion, exposure of dentine tubules, and pressure. This process can occur rapidly.

Beside above, what does a pink tooth mean? Children may have a pink baby tooth when it is getting ready to fall out. One reason this happens is due to resorption of the roots, internal resorption of the second layer of the tooth (dentin), and changes happening to the blood vessels inside the tooth (hence the pink) which can be seen as the tooth gets thinner.

In this regard, can resorption spread to other teeth?

With internal resorption the problems usually start from deep inside the tooth root and then work their way outwards. Just as a rotten apple in a fruit bowl will affect nearby healthy pieces of fruit, resorption can easily spread to other nearby teeth and gums.

Can tooth resorption be stopped?

Resorption occurs naturally in a primary (“baby”) tooth so it can loosen and give way for an incoming permanent tooth. Â Resorption still occurs in a limited form with young permanent teeth but should eventually stop. If not found and treated promptly, damage can occur quickly and lead to tooth loss.

How common is root resorption?

Tooth resorption is present in 5 to 10% of the general population who has never been subjected to orthodontic treatment. It has been considered the major cause of tooth loss; however, considerable confusion remains with regards to diagnosis of the different types of tooth resorption.

Can external tooth resorption be reversed?

This resorption is usually progressive, and if it proceeds all the way to your root's outer surface, treatment will be impossible. Early treatment is most successful, but even extensive cases can sometimes be reversed.

Can internal resorption be cured?

Treatment for internal resorption includes root canal therapy, followed by a definitive restoration. Although root canal treatment will halt the resorptive process, if the defect is too large, the tooth may mechanically fracture and fail.

Is tooth resorption painful?

No matter how close they are to the pulp, inflammatory or replacement root resorptions do not cause pain. If there is a painful sensation in teeth with any type of resorption, another cause should be investigated to explain the pain: root resorption is an asymptomatic and, after all, silent biological process.

Can Invisalign cause root resorption?

Root resorption: Invisalign® has to cause a cellular response in the roots of the teeth in order to let them move. The teeth can also become damaged after the treatment if you lose gum support or gone due to a periodontal disease, and if there was root resorption during the treatment.

How common is root resorption with Invisalign?

Orthodontic treatment with Invisalign® aligners could lead to RR. However, its incidence resulted to be very similar to that described for orthodontic light forces, with an average percentage of RR < 10% of the original root length.

Can braces cause root resorption?

Research has now proven that orthodontic movement of teeth through the constant force of braces will cause root damage in nearly 100% of patients. The pictured animation represents damage to the root tooth caused by braces. "100% of cases can expect root resorption of up to 4mm."

Is tooth resorption dangerous?

Tooth resorption can lead to infections, crooked teeth, tooth loss, and other dental problems that can cause lasting damage to your teeth, gums, and jaw.

What is the treatment for tooth resorption?

Root canal treatment remains the treatment of choice of internal root resorption as it removes the granulation tissue and blood supply of the clastic cells.

Can a tooth with root resorption be saved?

At some point, the damage from root resorption can be too great, in which case it might be best to remove the tooth and replace it with a dental implant or similar restoration. That's why catching root resorption early through regular dental exams can give you the edge for saving your tooth.

Is tooth resorption and autoimmune disease?

Idiopathic (unknown cause) root resorption Idiopathic root resorption, or the loss or damage of the root of a tooth, is commonly found in patients with scleroderma. It can only be determined on dental x-rays, so regular dental visits are crucial.

How long can a dead tooth stay in your mouth?

A tooth may die quickly, in a matter of days, or slowly, over several months or years. A tooth can also die as the result of poor dental hygiene. That can lead to cavities, which when left untreated can slowly destroy your tooth.

Can retainers cause root resorption?

Root resorption after re- moval of orthodontic appliances is mostly related to such causes as occlusal trauma, active retainers or others [7]. Tooth vitality. Tooth vitality and colour doesn't change even at extensive root resorption.

What happens if teeth move too fast?

There are dental professionals who believe that root resorption happens when a person's teeth are moved to fast or too slowly. These individuals believe the movement of teeth too fast shows excessive force. Some experts will point out there is no official documentation that demonstrates why tooth resorption happens.

What is external resorption of tooth?

External resorption is initiated in the periodontium and affects the external or lateral surfaces of a tooth. It is a common sequelae following traumatic injuries, orthodontic tooth movement, or chronic infections of the periodontal structures.

Why is my tooth crumbling?

Teeth generally crumble or break if they have previously had large fillings, especially silver ones. Eventually, the fillings corrode at the edges which can lead to micro leakage and fracture lines in the remaining tooth structure. And then one day during normal chewing, a bit of tooth falls off.

What causes bone resorption?

Bone Resorption. Bone resorption is the process by which the bones are absorbed and broken down by the body. Osteoclast cells are responsible for the breakdown of bone minerals thus releasing calcium and phosphorous into the bloodstream. This occurs when the body has insufficient calcium from an individual's diet.